ทำไมต้อง    ScoTT

Affordable Price

ราคาที่เข้าถึงได้ เหมาะกับทุกเพศทุกวัย

Professional Dentist

มีเครือข่ายคลินิกพาร์ทเนอร์ให้บริการ สามารถให้คำปรึกษาได้ทั้งออนไลน์ และออนไซต์

Satisfactory Service

บริการเต็มที่เต็มความสามารถ ลูกค้าส่วนใหญ่พึงพอใจในบริการ

SCOTT

Smart Milled Aligner

เปลี่ยนรอยยิ้มของคุณด้วย ScoTT นวัตกรรมทางทันตกรรมจัดฟันใสไร้ปุ่มติดเคลื่อนฟันด้วยเทคโนโลยี 3D Milled ScoTT ขั้นสูงเพื่อความสบาย แม่นยำ และมีประสิทธิภาพที่ไม่เหมือนใคร

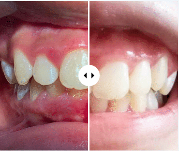
IDEAL SMILE AS A RESULT

Treatment

สามารถรักษาได้ทั้งเคสยาก – ง่าย ไม่ว่าจะเป็นเคส ฟันหน้าบนยื่น ฟันล่างคร่อมฟันบน ฟันสบลึก ฟันไม่สบกัน ฟันซ้อน ก็สามารถมีฟันสวยสมบูรณ์แบบได้

Power Compose

ปุ่มติดอุปกรณ์จัดฟันใส Attachment มีส่วนสำคัญในการกำหนดแรงและทิศทางการเคลื่อนที่ของฟัน และดีไซน์การติดปุ่มเพื่อให้เหมาะสมเฉพาะบุคคล

Design & Monitor

วางแผนการรักษา และติดตามผลโดยทันตแพทย์ในทุกขั้นตอนตั้งแต่ต้นจนจบ

Satisfactory Service

บริการเต็มที่เต็มความสามารถ ลูกค้าส่วนใหญ่พึงพอใจในบริการ

SCOTT Lite

สำหรับลูกค้าที่มองหาความสะดวกสบาย รวดเร็ว อุปกรณ์จัดฟันใสส่งตรงถึงบ้าน

โปรแกรมจัดฟันใสที่มอบความสะดวกสบาย รวดเร็ว ลดการเดินทางเข้าคลินิกในทุกๆ เดือน ให้บริการดูแลและติดตามผลการรักษาผ่านทางออนไลน์ SCOTT Lite มีแผนที่หลากหลายตอบโจทย์สำหรับผู้ที่มีปัญหาฟันไม่มาก ปัญหาฟันล้มหลังจากจัดฟันเสร็จ ไปจนถึงปัญหาฟันที่ซับซ้อน 

จัดฟันรอบสอง
อุปกรณ์สูงสุด 30 ชิ้น
ระยะเวลา ≤ 8 เดือน

Relapse

จัดฟันรอบแรกและเคสจัดซ้ำ
อุปกรณ์สูงสุด 40 ชิ้น
ระยะเวลา ≤ 10 เดือน

Simple

จัดฟันรอบแรก
อุปกรณ์สูงสุด 50 ชิ้น
ระยะเวลา ≥ 1 ปี

Mid

* บริษัทขอสงวนสิทธิ์ในการเปลี่ยนแปลงราคาโดยไม่ต้องแจ้งให้ทราบล่วงหน้า
** ราคาเฉพาะอุปกรณ์จัดฟันใสเท่านั้น

จัดฟันใสครอบคลุม ปัญหาฟัน

รีวิวจาก ผู้ใช้จริง

เริ่มต้นประเมินฟัน

เสริมความสดใสของรอยยิ้มของคุณได้ด้วย SCOTT วันนี้​

ประเมินฟันฟรีบทความติดต่อเรา

30 สุขุมวิท 61 แขวงคลองตันเหนือ เขตวัฒนา กรุงเทพมหานคร 10110 ช่วงเวลาให้บริการ

+66 99 290 1955